To Hopi traditionalists—Hopis who practice traditional culture—the humble one-seed juniper tree has deep cultural meaning. / Photo...
By Jocelyn Mercado / 11.06.2017 The Link Between Humans and Trees Trees are considered sacred in many...
Handaxe, lower paleolithic, about 1.8 million years old, hard green volcanic lava (phonolite), 23.8 x 10 cm, found at...
Replica of the painting from the Chauvet-Pont-d’Arc Cave in southern France (Anthropos museum, Brno) By Dr....
The Deluge tablet of the Gilgamesh epic in Akkadian By Danielle Dencio / 2007 The Epic of Gilgamesh is...
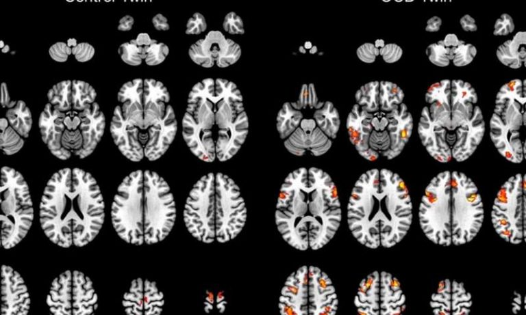
By John McLaughlin / 07.02.2015 PhD Candidate in Developmental Biology Hunter College City University of New York...
Pixabay, Creative Commons 11.01.2017 Can you feel the support of the chair?” My Rosen Method therapist asked....
Artist’s concept of interstellar asteroid 1I/2017 U1 (‘Oumuamua) as it passed through the solar system after its...
From Dr. Stephen T. Muench (by student Bailey Anne Cook) / 12.04.2015 Associate Professor of Civil and...
A statue of Isis, the Ancient Egyptian goddess, and a head from a human-sized statue of a...
By Gilbert Ross / 11.24.2017 How to Bounce Back from Adversity Everything in life is in constant...
Photographer Graciela Iturbide Artist and illustrator Zeke Peña talks about making comic books and bringing photographer Graciela...
Image by Getty By Dr. Charlie Huenemann / 11.24.2107 Professor of Philosophy Utah State University We all know what...
Washington University researchers were part of a team that studied findings from the Ordovician Period that produced...
Is this the future of human identity? Luke James Ritchie/Shutterstock.com By Dr. Jungwoo Ryoo / 11.08.2017 Professor of...
TV control room in Toronto / Photo by Loozrboy, Wikimedia Commons Technology is changing society at breakneck...
By Mark Manson / 11.23.2017 Learning to Transmute Our Sufferings A poor, black female in the segregated...
Photo of Spots courtesy of Isabelle Groc Around the world, canine conservationists are helping humans and wildlife...
By Jacob Devaney / 11.21.2017 Master Your Fear of Failure None of us enjoy a smack-down from...
Chris Edwards photographs the interior of the Berlin Philharmonic, 2017. Photos: Emily Pugh Why photographing buildings is...
Engraving by Jean-Frédéric de Waldeck, featured in Monuments anciens du Mexique. Palenqué et autres ruines de l’ancienne civilisation...
Locking articles away behind a paywall stifles access. Elizabeth, CC BY-NC-ND By Dr. Patrick Burns / 11.05.2017 Dean of...
An argument. Photo by Flickr user Dmitris Papazimouris through a Creative Commons license. From The Writing Center...
Does living at a higher altitude affect your mental health? VAndreas/shutterstock.com By Dr. Hoehun Ha / 11.05.2017 Assistant...
Lenore Edman/Flickr By Leon Kreitzman / 11.22.2016 Biochemist Burmese monks know that it is time to get...
Former gangster Lucky Luciano teaches an old dog. Rome, 1949. Photo by Bettmann/Getty By Dr. Suzanne Cope /...
A doctor reveals why palliative care patients talk far more of life than death. By Dr. Matthew...
Image courtesy of Light show via Wikimedia Commons, and edited by Shannon Sands By Dr. Mark English / 11.11.2017 Philosopher In a recent...
Migrants seeking asylum in the United States await near the US-Mexico border at El Chaparral crossing in...
At the Modern Filial Piety Culture Museum in Qionglai, southwest China, February 2015. Photo by STR/AFP/Getty By Dr....